Oglasi - Advertisement
Najnovije
GLOG – BILJKA SA NAJJAČIM SMIRUJUĆIM DEJSTVOM: Uspješno izbacuje i višak vode iz cjelokupnog organizma…
Glog uspješno izbacuje višak vode iz organizma. U nastavku teksta doznajte koje još moći ima za vaše zdravlje. Glog je biljka koja se koristi hiljadama godina i poznata je po svojim ljekovitim svojstvima. Njegova sposobnost da iz organizma izbacuje višak vode čini ga korisnim...
Koji je normalan broj otkucaja srca u minutu, za svaku starosnu dob
Koji je normalan broj otkucaja srca? U nastavku teksta doznajte. Mnogi ljudi redovno mjere svoj puls, bilo ručno ili putem modernih mobilnih aplikacija koje koriste otisak prsta za praćenje srčanih otkucaja. Ipak, mnogi nisu sigurni koja je normalna vrijednost ili kako je interpretirati. Brzina...
Rak jetre ima 8 simptoma: Obratite pažnju
Simptomi koji ukazuju na rak jetre. U nastavku teksta doznajte o kojim simptomima je riječ. Uzroci raka jetre još uvijek nisu u potpunosti razjašnjeni, ali medicinska istraživanja jasno ukazuju na niz faktora koji značajno povećavaju rizik od njegovog razvoja. Ova bolest često se razvija...
GASTRITIS, GASOVI, BOLNO MOKRENJE? Potražite pomoć u ovoj biljci i nećete se pokajati
Biljka koja pozitivno utiče na vaše zdravlje. O kojoj biljci je riječ i šta liječi doznajte u nastavku teksta. Bosiljak je jedna od onih biljaka koje su kroz istoriju stekle poseban status u različitim kulturama. Njegov put od tropskih krajeva Azije do evropskih vrtova...
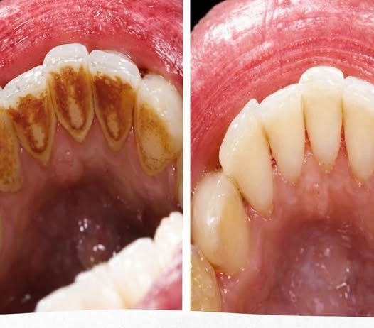
EVO KAKO DA SAMI UKLONITE SAV KAMENAC SA ZUBA: Napravite ovu smjesu i bićete oduševljeni rezultatom! (RECEPT)
Uklonite zubni kamenac pomoću ove smjese. O kojoj smjesi je riječ doznajte u nastavku teksta. Zdravlje zuba često uzimamo zdravo za gotovo sve dok se ne pojave prvi problemi. Jedan od najčešćih je zubni kamenac, koji se razvija postepeno i dugo može proći neprimijećen....










